Offre spéciale : -15% ce mois-ci
Gencive gonflée à Yaoundé : que faire rapidement ?
👉 Gencive gonflée ? Douleur ou infection ?
Une gencive enflée peut être le signe d’un problème dentaire à traiter rapidement.
📞 Appelez maintenant pour être orienté vers un dentiste à Yaoundé.
Réponse rapide – orientation selon votre zone.
Une gencive gonflée peut apparaître soudainement et devenir douloureuse. À Yaoundé, ce problème est souvent lié à une infection, une dent abîmée ou un abcès.
Dans certains cas, la douleur peut augmenter rapidement et rendre la mastication difficile.
LES CAUSES POSSIBLES
Une gencive gonflée peut être causée par :
infection dentaire
abcès
dent percée
dent de sagesse
accumulation de tartre
👉 Ces situations nécessitent souvent une consultation.
SIGNES À NE PAS IGNORER
douleur en mangeant
saignement
mauvaise haleine
sensation de pression
Si ces symptômes apparaissent, il est conseillé de consulter rapidement.
QUE FAIRE IMMÉDIATEMENT
En attendant de consulter :
rincer avec eau tiède salée
éviter aliments durs
éviter zone douloureuse
prendre antalgique si nécessaire
⚠️ cela ne remplace pas un traitement.


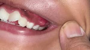
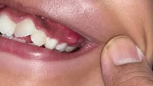
gencives enflées et abcès près des molaires (gingivite). Traitement en cours chez dentist237
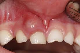
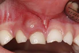
Schéma d'abcès : inflammation de la gencive et infection de la racine.






Gros plan : gonflement de la joue droite chez un enfant (gencive gonflée).
Orthodontie, Blanchiment, Détartrage,... chez Dentist237
Modèle d'implant : vis en titane remplaçant une racine entre dents naturelles.






Dentiste tenant un modèle de mâchoire pour l'éducation à l'hygiène buccale dans notre cabinet à Mokolo
Beaucoup de patients attendent en pensant que ça va passer.
Mais une gencive gonflée peut cacher une infection.
Plus vous attendez :
la douleur augmente
le traitement peut coûter plus cher
ORIENTATION YAOUNDÉ
Selon votre zone, vous pouvez être orienté vers un dentiste disponible à Yaoundé pour :
examen
traitement infection
soulagement douleur


Vous avez une gencive gonflée maintenant ?
📞 Appelez pour être orienté rapidement vers un dentiste à Yaoundé.
Réponse rapide – orientation selon votre zone.
Une gencive gonflée est-elle grave ?
Cela dépend de la cause, mais une consultation est recommandée.
Est-ce une urgence ?
Oui si douleur importante ou gonflement.
Peut-on attendre ?
Il vaut mieux consulter pour éviter complications.
FAQ
Une gencive gonflée est-elle grave ?
Cela dépend de la cause, mais une consultation est recommandée.
Est-ce une urgence ?
Oui si douleur importante ou gonflement.
Peut-on attendre ?
Il vaut mieux consulter pour éviter complications.
Contact telephonique
+237 6 94 88 58 36
© 2026. All rights reserved.
Adresses:
Hippodrome, Vallée Bastos, Nkoabang Mvog Enyegue, chapelle Essos, Quartier Fouda, Omnisport
ericmakazung11@gmail.com