Offre spéciale : -15% ce mois-ci
🦷 Urgence dentaire à Yaoundé : que faire en cas de douleur ?
👉Douleur dentaire ? Ne restez pas comme ça. ?
pour être orienté rapidement vers un dentiste disponible.
Une douleur dentaire peut apparaître soudainement et devenir très intense. À Yaoundé, de nombreuses personnes recherchent en urgence un dentiste lorsqu’elles souffrent d’une infection, d’un abcès ou d’une dent cassée.
Dans ces situations, il est important d’agir rapidement pour éviter que le problème ne s’aggrave.
🚨 Les situations d’urgence dentaire les plus fréquentes
Certaines situations nécessitent une consultation rapide :
douleur dentaire intense
abcès dentaire (gonflement, infection)
dent cassée ou fissurée
saignement après extraction
dent qui bouge soudainement
Si vous ressentez l’un de ces symptômes, il est recommandé de consulter rapidement.
🩺 Que faire en cas de douleur dentaire ?
En attendant de consulter un dentiste :
évitez de mâcher du côté douloureux
rincez la bouche avec de l’eau tiède salée
évitez les aliments très sucrés ou très froids
prenez un antalgique si nécessaire (selon avis médical)
⚠️ Ces solutions sont temporaires. Une consultation reste indispensable.
📍 Trouver un dentiste en urgence à Yaoundé
Selon votre localisation (Bastos, Biyem-Assi, Essos, Mendong, Obili…), il est possible d’être orienté vers un cabinet dentaire adapté à votre situation.
👉 Vous pouvez être orienté vers un cabinet selon :
votre zone
votre urgence
la disponibilité 💬 Réponse rapide – Orientation selon votre zone
👉Consultez aussi notre guide complet pour choisir un dentiste à Yaoundé
👉 En savoir plus sur l’implant dentaire à Yaoundé
Souriante fillette recevant un examen dentaire à nkoabang au miroir et aux outils.
Modèle d'implant : vis titane et couronne céramique dans une mâchoire. cabinet dentaire d'Essos






Souriante femme en fauteuil lors d'un contrôle dentaire professionnel.
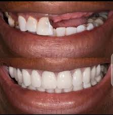
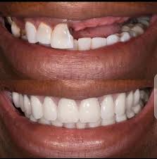
Restauration dentaire : dents manquantes remplacées par des facettes en porcelaine
Pont dentaire : restauration d'une dent manquante chez un patient.






Femme souriante aux dents blanches pour l'esthétique et la beauté dentaire.
Contact telephonique
+237 6 94 88 58 36
© 2026. All rights reserved.
Adresses:
Hippodrome, Vallée Bastos, Nkoabang Mvog Enyegue, chapelle Essos, Quartier Fouda, Omnisport
ericmakazung11@gmail.com