Offre spéciale : -15% ce mois-ci
Abcès dentaire à Yaoundé : attention, infection à traiter en urgence
👉 Gencive gonflée ? Douleur intense ?
⚠️ Un abcès dentaire est une infection qui peut s’aggraver rapidement.
📞 Appelez maintenant pour être orienté vers un dentiste à Yaoundé
👉 réponse rapide – orientation selon votre zone
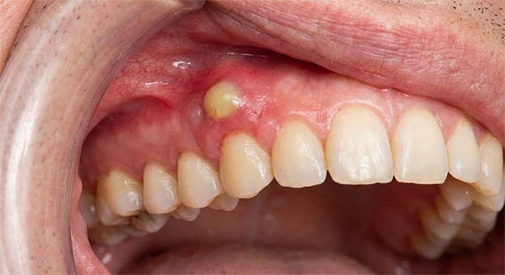
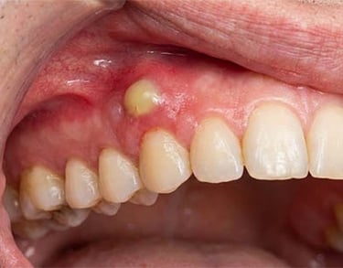
Un abcès dentaire est une infection qui se développe au niveau de la dent ou de la gencive. À Yaoundé, beaucoup de patients attendent trop longtemps avant de consulter.
👉 Cette attente peut entraîner des complications graves.
🚨 LES SIGNES D’UN ABCÈS DENTAIRE
Vous pourriez avoir :
gonflement de la gencive ou du visage
douleur intense
présence de pus
fièvre
mauvaise haleine
👉 Si vous avez ces symptômes, il faut agir rapidement.
⚠️ POURQUOI C’EST DANGEREUX
Un abcès n’est pas une simple douleur.
Sans traitement :
❌ l’infection peut s’étendre
❌ la douleur devient insupportable
❌ des complications peuvent apparaître
👉 Plus vous attendez, plus le traitement devient lourd.
🩺 QUE FAIRE IMMÉDIATEMENT
En attendant de consulter :
rincer avec de l’eau tiède salée
éviter de toucher la zone
éviter les aliments sucrés
prendre un antalgique si nécessaire
⚠️ Ces solutions ne soignent pas l’infection.
👉 Seul un dentiste peut traiter un abcès.
📍 ORIENTATION À YAOUNDÉ
Selon votre situation, vous pouvez être orienté vers le cabinet dentaire capable de gérer ce type d’urgence.
👉 L'orientation se fais selon :
votre zone
la gravité
la disponibilité
👉 Beaucoup de patients pensent que ça va passer…
👉 Mais un abcès ne disparaît pas seul.
Résultat :
aggravation
traitement plus coûteux
complications
👉 Ne prenez pas ce risque.


Évolution de la carie : de la cavité à l'abcès avec inflammation de la pulpe.
Schéma d'abcès : inflammation de la gencive et infection de la racine.






Gros plan : gonflement de la joue droite chez un enfant (oreillons ou infection).
Orthodontie : un dentiste pose un aligneur en plastique transparent sur un homme.
Illustration médicale 3D : molaires humaines avec carie et cavités sombres.






Dentiste professionnel en uniforme blanc posant avec une patiente souriante après avoir reçu ses soins dentaire.
Contact telephonique
+237 6 94 88 58 36
© 2026. All rights reserved.
Adresses:
Hippodrome, Vallée Bastos, Nkoabang Mvog Enyegue, chapelle Essos, Quartier Fouda, Omnisport
ericmakazung11@gmail.com